Center for Family and Implant Dentistry
At the Center for Family and Implant Dentistry in Bluff City, our dedicated team led by Dr. MacConnell is committed to offering a unique and personalized dental experience in Bluff City TN beyond your expectations. With a warm and friendly approach, we strive to create a comfortable environment where patients feel at ease from the moment they enter our state-of-the-art facility. Our cutting-edge practice houses innovative tools and technology that allow us to deliver precise diagnostics, efficient procedures, and outstanding outcomes.
Whether you require routine preventive care or more complex procedures like implant dentistry, rest assured that our skilled professionals will tailor every treatment plan according to your requirements for optimal outcomes. We are devoted to ensuring your dental well-being while maintaining an unwavering commitment to delivering unparalleled patient satisfaction through customized care. Trust us with your dental health journey. Here, at the Center for Family and Implant Dentistry, your smile is in expert hands.
Read MoreOur Services
Comprehensive Oral Implantology
Comprehensive oral implantology is an advanced field of dentistry that focuses on the overall evaluation, planning, and implementation of dental implant treatment to replace missin...
Read More
Restorative Dentistry
Restorative dentistry encompasses diagnosing, treating, and preventing oral diseases and conditions, primarily focusing on restoring the function and aesthetics of teeth and suppor...
Read More
All-on-6
All-on-6 is a cutting-edge dental implant procedure designed to restore an entire arch of missing teeth with just six implants. This innovative technique provides a secure foundati...
Read More
Sedation Dentistry
For many individuals, visiting the dentist can be a source of anxiety and fear. Whether due to past negative experiences, fear of pain, or general apprehension, dental phobia can p...
Read More
Periodontics in Bluff City TN
Periodontics is a specialized branch of dentistry focused on preventing, diagnosing, and treating diseases and conditions affecting the gums and supporting structures of the teeth....
Read More
Cosmetic Dentistry
Cosmetic dentistry is a specialized branch focused on enhancing the appearance of the teeth, gums, and smile. Unlike traditional dentistry, which primarily addresses oral health is...
Read More
Aesthetic Services
In today's beauty-conscious world, aesthetic treatments have emerged as powerful tools for enhancing natural beauty and achieving youthful, radiant appearances. Aesthetic services ...
Read More
Preventative Dentistry
Preventative dentistry encompasses a proactive approach to oral health care to prevent dental problems before they occur or progress. At the Center for Family and Implant Dentistry...
Read MoreMeet The Doctor
Dr. Andrew Monteith MacConnell
Dr. Andrew MacConnell, renowned and esteemed in the field of oral implantology, is a board-certified expert specializing in comprehensive regenerative implant dentistry. At the Center for Family and Implant Dentistry in Bluff City, Dr. MacConnell and his dedicated team are committed to delivering unparalleled dental care that surpasses their patients' expectations. With each individual patient, they strive to create not just an exceptional smile but also optimal health results that were previously unimaginable.
As the Director of the Jacksonville University Comprehensive Oral Implantology Program, Dr. MacConnell holds a prestigious position that allows him to remain at the forefront of cutting-edge advancements in dental technology. This invaluable opportunity empowers him to provide his patients with access to all types of dental and aesthetic treatments from top-notch providers under one roof. By fostering long-lasting relationships with our compassionate dental care team, patients benefit from seamless continuity of care throughout their treatment journey - an experience that truly sets us apart from others in our field.
Gallery
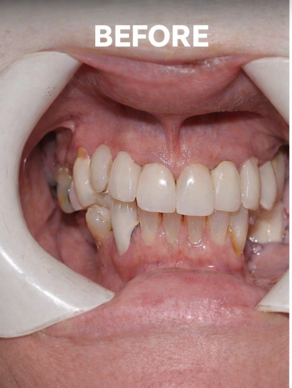
Smile Gallery
ALL ON 6
UPPER DENTURE WITH A LOWER SNAP-ON DENTURE
Visit Our Office
Office Hours
- Monday8:00 am - 5:00 pm
- Tuesday8:00 am - 5:00 pm
- Wednesday8:00 am - 5:00 pm
- Thursday8:00 am - 5:00 pm
- Friday8:00 am - 2:00 pm
- SaturdayClosed
- SundayClosed




