Smile Gallery
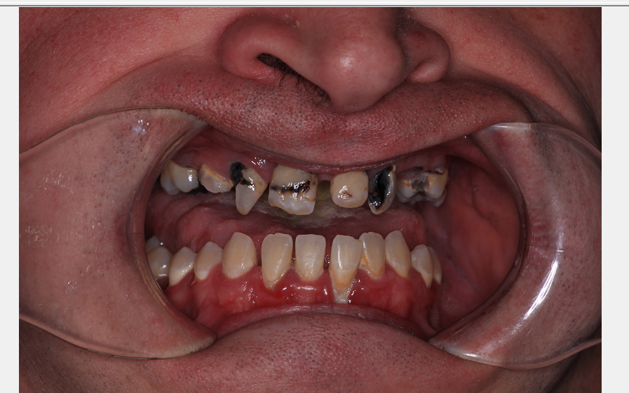
Before
After
ALL ON 6
Before
After
UPPER DENTURE WITH A LOWER SNAP-ON DENTURE
Visit Our Office
Office Hours
- Monday8:00 am - 5:00 pm
- Tuesday8:00 am - 5:00 pm
- Wednesday8:00 am - 5:00 pm
- Thursday8:00 am - 5:00 pm
- Friday8:00 am - 2:00 pm
- SaturdayClosed
- SundayClosed
WELCOME



